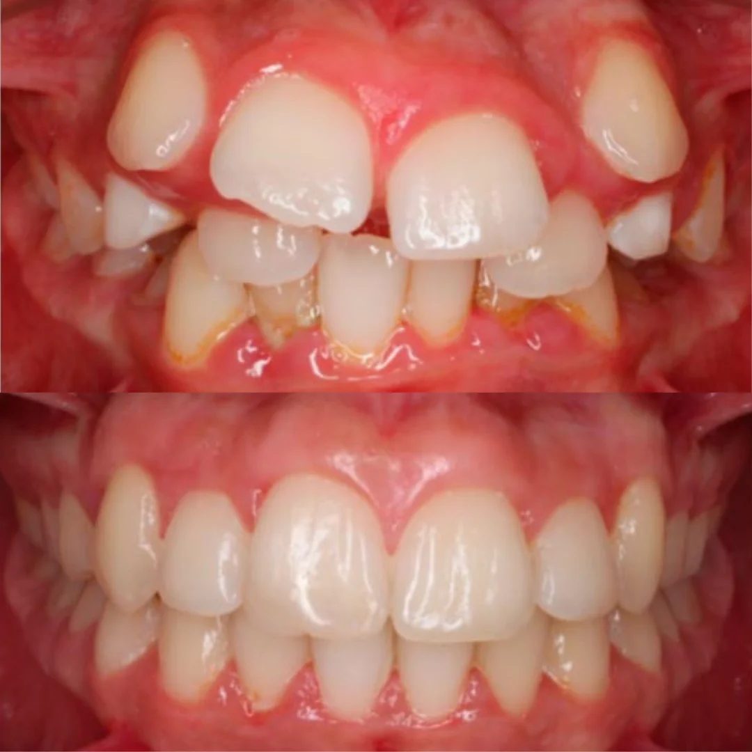
Perfecciona la alineación de tus dientes y resalta la armonía facial con nuestro tratamiento de ortodoncia
Una sonrisa alineada es salud, estética y bienestar, con beneficios que pueden acompañarte toda la vida.





Beneficios de Iniciar Tu Tratamiento Hoy Mismo
- Mejorar la oclusión dental y promover la salud periodontal.
- Alcanzar la armonía entre los dientes y la función ATM.
- Prevenir y conseguir una estética facial y dental mejorada.
- Tener una buena funcionalidad y estabilidad.
- Corregir la posición dentaria correcta, como los dientes separados.
- Conseguir un hueso y una arquitectura gingival óptima
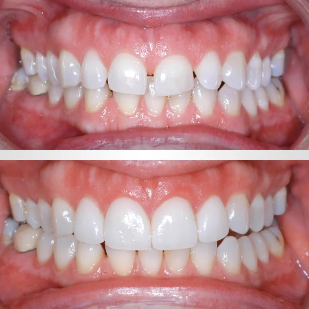
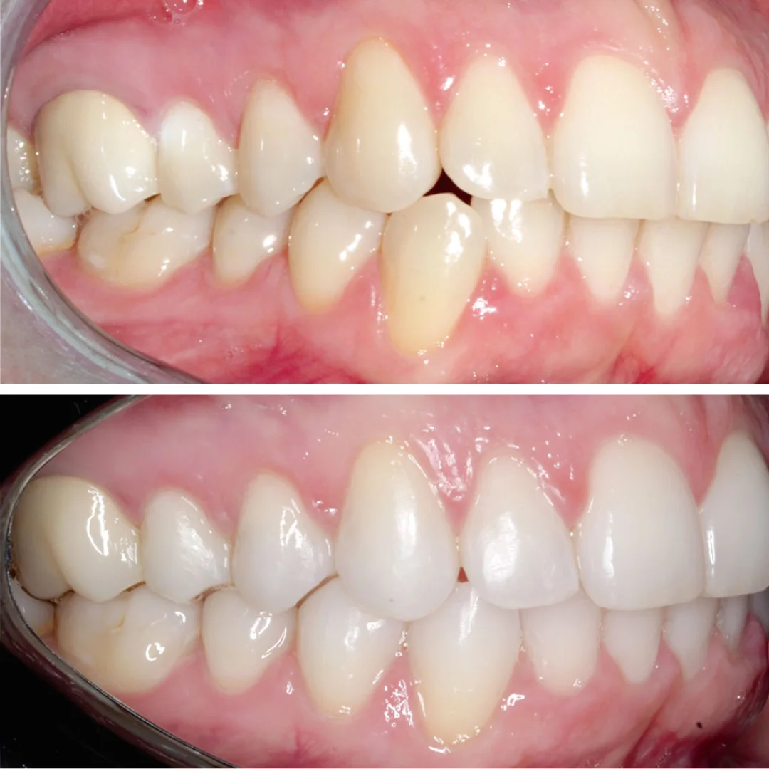
Indicaciones
Si usted tiene alguna de las siguientes afecciones, es probable que necesite un tratamiento ortodóntico:
- Sobremordida
- Mordida cruzada
- Mordida abierta
- Línea media desplazada
- Espaciamiento o espacios entre los dientes
- Apiñamiento
Materiales
El tratamiento de ortodoncia se lleva a cabo por medio del posicionamiento de brackets sobre la superficie de todos los dientes y con ayuda de alambres, bandas y ligas, que mediante la fuerza física constate logran la posición esperada de los dientes.


Horario de atencion
- Lunes a Viernes
8:00 am a 12:00 pm
2:00 pm a 6:00 pm - Sabados
8:30 am a 12:30 pm
Estamos aqui
- Cra 5 #40-100, Ibague, Tolima
- Cel: 311 853 1775
- Tel: 6082651833
¡No espere más para cuidar de su salud dental! Visítenos en nuestra dirección o contáctenos a través de nuestro números de teléfono para más información.
¡Esperamos verte pronto!
